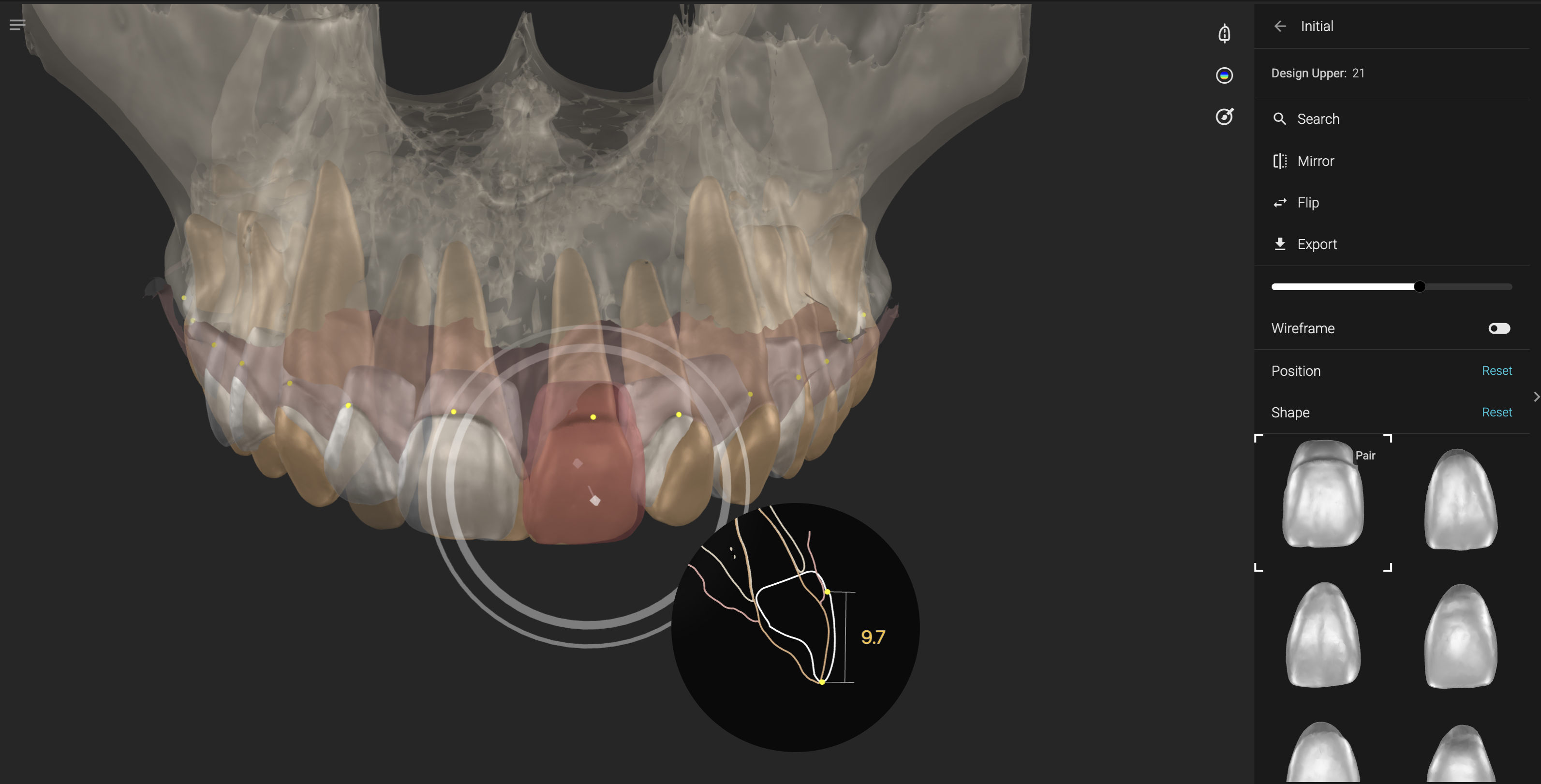
Design - Library Controls

  • Click on a tooth shape from the design to move with the mouse
  • Hold COMMAND or CTRL on your keyboard to rotate the tooth on its axis
  • Drag the outer circle to scale
  • Drag the inner circle to move on the horizontal axis

More tools are available in the design Menu:

  • Search for different shapes
  • Mirror the shape
  • Flip the shape
  • Export
  • Show / hide
  • Show / hide wireframe
  • Reset position changes and Shape changes

Changes to the 3D shape, size or position are rendered on the portrait, and vice versa. Changes to the portrait design will be visible in 3D

Align tools

When the align function is selected on Structure, the align tool menu is on the right side. Show or hide the selected teeth from the slider

Align Tooth Controls: Click on a tooth marked for Align to move. Drag from the arrow or the circle.

Additional tools are on the right side to reset position, shape and show/hide wireframe.

If in structure both Align and Reshape are selected, the patient tooth can be moved to match the new library shape in design - and visualise the changes on the portrait.

To move the patient tooth or the library tooth -> use the Reshape / Align toggle

Export Blueprint as STL to your computer

  • Export as combined or separate files.
  • Choose which objects you wish to export

Save Blueprint

Click on the X to save and close the Blueprint

Blueprint Project Options

From the Project section you have different options for managing the Blueprint:

  • Rename
  • Share with Patient
  • Duplicate ( creates a copy )
  • Lock ( prevents other members to make changes )
  • Set as Case Cover
  • Delete

Video Simulation

Create a before-and-after presentation, or generate a video from the before and after pictures

 

Was this article helpful?